Menu principale:
La posizione del mascellare superiore e della mandibola condiziona la posizione dei denti ed i rapporti tra le d ue arcate. Durante la fase di dentatura decidua i dentini si allineano lasciando spesso dei piccoli spazi fra dente e dente, tipici della prima dentizione.
1° Classe Scheletrica 2° Classe Scheletrica 3° Classe Scheletrica
La dentatura permanente si completa intorno ai 12-13 anni.
Gli ultimi molari - gli ottavi o denti del giudizio - erompono dopo i 18 anni.
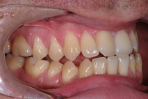
Se lo spazio a disposizione lungo le arcate è sufficiente, i denti si allineano stabilendo naturalmente rapporti occlusali ideali.
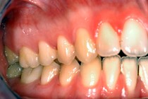
Quando il profilo è armonico e regolare (classe I) possono esistere posizioni dentarie non corrette dovute spesso la mancanza di spazio per l'allineamenteo di tutti i denti. La forma e le dimensioni dei denti permanenti possono non trovare il miglior alloggiamento lungo le arcate dentarie, causando affollamento e producendo un'occlusione irregolare
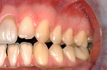
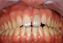
Nei casi di profilo convesso (classe II) spesso le arcate dentarie non sono congruenti fra di loro.
I denti dell'arcata superiore sono posizionati più in avanti e gli incisivi superiori non contattano gli antagonisti inferiori. La posizione troppo avanzata degli incisivi superiori con il tipico aspetto da "coniglietto" richiama l'attenzione dei genitori.

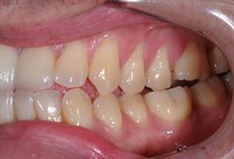
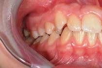
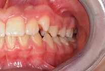
Nei casi di profilo concavo (classe III) l'arcata dentaria superiore risulta più arretrata rispetto all'arcata antagonista. Il marcato supporto dentario anteriore condiziona il profilo delò labro superiore che appare più assottigliato e arretrato.