E quali per muovere i denti? - giovanna perrotti

Vai ai contenuti

Menu principale:

E quali per muovere i denti?

L'ortodonzia per il paziente

Il trattamento otodontico si avvale di apparecchiature fisse, ossia attaccate direttamente sulla superficie dei denti. Questi dispositivi sono in grado di spostare i denti lungo le arcate, riposizionandoli, al fine di ottenere molteplici risultati: una corretta relazione tra l'arcata superiore e l'arcata inferiore, una buona funzionalità ed una gradevole estetica.
Terminata la fase attiva del trattemento con la rimozione dell'apparecchiatura fissa, viene applicato un dispositivo di contenzione che ha lo scopo di stabilizzare i denti nella nuova posizione, dando tempo ai tessuti di sostegno del dente - il legamento parodontale, l'osso alveolare, i tessuti muscolari - di adattarsi al cambiamento. Il periodo della contenzione va considerato come la fase terapeutica conclusiva che consente di stabilizzare l'occluisione in modo permanente.
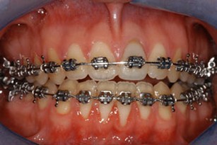
L'apparecchio per la terapia ortodontica fissa

E' un sistema di attacchi e fili metallici applicati direttamente sui denti al fine di spostarli verso le direzioni prestabilite. E' utilizzabile durante la crescita e in età adulta



 
Copyright 2015. All rights reserved.
Torna ai contenuti | Torna al menu