Menu principale:
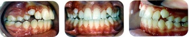
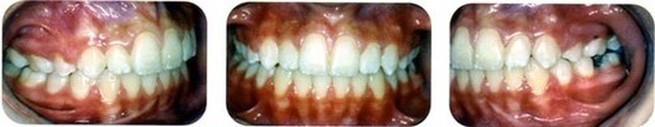
L'ortodontista, avvalendosi degli strumenti diagnostici a disposizione- la radiografia, i modelli delle arcate e le fotografie dei paziente - studia il caso. Ogni caso necessita di una valutazione individuale! Se il bambino ha una crescita scheletrica regolare ed armonica l'attenzuione verrà rivolta alla pemuta: si valuta lo spazio disponibile per i denti permanenti lungo le arcate e si pianificano gli eventuali interventi per guidarne il percorso eruttivo. Terminata la permuta dentaria si valuta la necessità di una fase di allineamento e correzione dei rapporti per consolidare l'occlusione. Alcune malocclusioni dipendono invece da una crescita disarmonica delle ossa del volto e traggono il massimo beneficio da un trattamento durante il periodo di maggior crescita, fra i 9 e 13 anni. Durante questa fase il bambino sviluppa appieno le sue potenzialità di crescita scheletrica (6-10 cm all'anno) e la componente genetica si manifesta determinando le caratteristiche individuali. Le ossa del volto e la componente muiscolare che le riveste crescono con un andamento tipico in avanti e verso il basso determinando l'ingrandimento del viso che assumerà le dimensioni adulte. Durante questo periodo si assiste frequentemente ad una crescita rallentata o con una direzione non corretta della mascella o della mandibola, che perdono il contatto e la progressione comune. In questo momento in cui l'organismo vive il picco della crescita, interventi mirati con apparecchiature specifiche per ogni singolo caso possono migliorare i rapporti scheletrici, riportando il bambino entro schemi di crescita più armonici.


