II Classe Iperdivergente morso aperto (Caso 2) - giovanna perrotti
Vai ai contenuti
Menu principale:
×
Home Page
Chi siamo
L'ortodonzia per il paziente
Che cosa è l'ortodonzia?
Quali sono le ossa del volto di cui si occupano l'ortodonzia e l'ortopedia maxillo-facciale?
Esiste un rapporto tra la crescita delle ossa del volto ed occlusione dentale?
Come si comportano le arcate dentarie nei diversi tipi di sviluppo scheletrico?
A che eta' e' consigliabile una visita ortodontica?
Come e quando crescono i denti?
Quali sono i benefici di un trattamento precoce in età compresa fra 5 e 8 anni?
Quali sono gli obiettivi del trattamento ortodontico durante la fase di crescita pre-puberale, tra i 9 e i 13 anni?
Quali apparecchiature utilizza l'Ortodontista per correggere i problemi di crescita ossea?
E quali per muovere i denti?
Ma come si ottiene il movimento dei denti?
Si sente male durante i movimenti dentari?
Perche' a volte e' necessario eliminare denti sani?
Come cambia l'igiene orale durante un trattamento di ortodonzia?
Ortodonzia e Chirurgia Ortognatodontica
Introduzione
Per quali ragioni si consiglia una procedura chirurgica a un paziente che ha problemi a livello dei mascellari?
Come si valuta l’aspettativa del paziente che si sottopone a chirurgia ortognatodontica?
Indicazioni alla chirurgia ortognatodontica
Quali sono gli spostamenti chirurgici che possono essere eseguiti sulle ossa mascellari?
Come si esegue una fase diagnostica?
Qual’e il ruolo dell’ortodontista?
Cosa accade dopo l'intervento chirurgico?
TFA Total Face Approch
Casi Clinici Ortodontici
Agenesia di incisivo laterale superiore
Caso generico di affollamento dentario
Casi Clinici pre - post Chirurgiia Ortognatodontica
II Classe ipodivergente morso coperto
II Classe Ipodivergente morso profondo
II Classe Iperdivergente morso aperto (Caso 1)
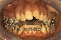
II Classe Iperdivergente morso aperto (Caso 2)
III Classe Iperdivergente morso aperto
Rassegna Stampa
Pubblicazioni
Sede
Links
II Classe Iperdivergente morso aperto (Caso 2)
Casi Clinici pre - post Chirurgiia Ortognatodontica
casi trattati chirurgicamente dal Prof. Aldo Bruno Giannì
Home Page
|
Chi siamo
|
L'ortodonzia per il paziente
|
Ortodonzia e Chirurgia Ortognatodontica
|
TFA Total Face Approch
|
Casi Clinici Ortodontici
|
Casi Clinici pre - post Chirurgiia Ortognatodontica
|
Rassegna Stampa
|
Pubblicazioni
|
Sede
|
Links
|
Mappa generale del sito
Copyright 2015. All rights reserved.
Torna ai contenuti
|
Torna al menu
Per poter utilizzare questo sito è necessario attivare JavaScript.